
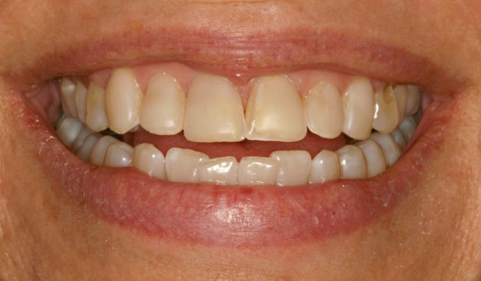
Veneers
Dr. Heringer's Experience, Education, and Passion
Dr. Heringer is a seasoned dentist who has undergone extensive training in cosmetic dentistry. He has learned from some of the most renowned dentists in the industry, including Bill Dorfman from ABC TV's Extreme Makeover, Dr. William Chen of the World Laser Clinical Institute, and Dr. Frank Spear of the Spear Faculty Study Club.
Dr. Heringer has been a member of the American Academy of Cosmetic Dentistry for a number of years. He is also committed to taking his knowledge to the next level with ongoing education. In fact, he is one of the few dentists is the world to have received Mastership from the World Laser Clinical Institute in Waterlase.

"They're so good at making you feel relaxed."
Did You Know? Veneers Can Be Affordable
Many patients avoid coming into our Bismarck practice for a consultation because they assume that veneers are too expensive. However, veneers can be affordable. We can adjust your treatment plan and we offer various payment options so we can develop a treatment plan that fits your budget. Here is how we make dental veneers more affordable.
5-Star Google Reviews from Bismarck "The Best Dentist and Staff Around!"
I have been going to Dr Heringer for years. My teeth were crumbling and cracked. We started a plan with crowning the worst teeth first. Our plan included a white smile at the end. All of the crowns were working towards that. Recently, I finally was able to do the 12 in the smile zone (6 on top and 6 on the bottom). Today my permanent crowns went in for the smile zone!! My white and straight smile has been a long time coming - it looks amazing!! So glad I did this - with the best dentist and staff around!!
View on GoogleI absolutely love Heringer Dentistry!... Dr Heringer is super nice and I LOVE my hygienist I’ve had there for several years!! The receptionists always work so hard to make sure you get into an appointment that works with your schedule. And they are so great at answering insurance questions and giving price estimates for the work they will be doing so there are no surprises when the bill comes. I have been going here since I was a kid and now my kids go here as well!
View on GoogleContact Us to Schedule an Appointment
Whether you have a discolored tooth or misshaped teeth, dental veneers can improve the appearance of your smile. We serve patients from Bismarck and Mandan, ND. Contact our dental office online to ask a question about porcelain veneers or request a consultation. You can also reach us by phone to schedule an appointment at:
(701) 255-4850
Candidates for Porcelain Veneers
Good candidates for porcelain veneers should have good oral health, free of tooth decay and gum disease. They should also have a sufficient amount of enamel. Dental veneers can address a range of dental flaws, including:
- Chipped or Fractured Tooth
- Discolored Teeth
- Gapped Teeth
- Tooth Misalignment
- Misshaped Teeth
- Worn Teeth
The Dental Veneer Treatment Timeline
When patients from Bismarck, Mandan, and surrounding areas of the state come to our practice for placement of dental veneers, they can expect the following.
How Long Do Porcelain Veneers Last?
Porcelain veneers can last for 15 years or more with proper care. Be sure to brush, floss, and visit your dentist as directed. It is also important to avoid bad habits such as using your teeth as tools or biting on your fingernails.
More 5-Star Google Reviews
Great reminders for appointments. Always efficient and on time. Super friendly staff.
View on GoogleSeen quickly, very nice staff, explained things, answered my questions, knowledgeable when something the dentist said went over my head, in and out in about an hour for what I needed.
View on Google





